Case of the Month – July 2023
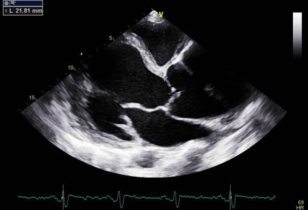
A double quadri in a week! Quadricuspid aortic valve is an extremely rare finding on echocardiography. The incidence is 0.0059-0.0065% for patients undergoing transthoracic echocardiographic examinations. Presenting two successive cases seen in two successive weeks in our echo lab! Your browser does not support the video tag. Your browser does not support the video tag.…



























